インプラント

Implant

インプラントとは?

インプラント治療は、歯がなくなって噛み合わせができない部分に、人工の歯根を埋め込み新しく人工の歯を作る治療法です。

顎の骨にしっかりと固定されるインプラント治療なら、まるで自分の歯のように食事をすることができます。また、周りの歯を使用せず削ったりもしません。見た目も自分の歯のように自然に仕上げることができるので、人前でも口元を気にせず、食事や会話を楽しむことができます。

インプラント治療で日常の楽しさを取り戻してみませんか。

治療期間
3ヶ月~1年
回数
5~10回
診療前の注意点
外科手術が必要になるため、体力的な負担がかかります。自費診療になります。

当院のインプラント治療の特徴

オペ室を用意し徹底した衛生環境

インプラント治療では顎の骨に穴をあける手術を必要とします。
このとき、治療部位に細菌感染が起こると、インプラント体(人工歯根)が骨に十分結合できず、インプラントの優れた機能が発揮できない可能性があります。これを踏まえて、当院のオペ室は感染対策を徹底しています。このような万全の環境があってこそ、歯科医師もオペに集中でき、クオリティの高いインプラント治療を提供することが可能です。

麻酔科医を呼んで
静脈内鎮静が可能

静脈内鎮静法は、点滴によって眠っているような状態を作る方法です。全身麻酔のように意識を失くすことがないのでリスクが少なく、痛みや治療の音などがほとんど気になりません。当院ではこの処置を麻酔科医が管理するため、痛みに弱い方、恐怖感が強い方でも安心して手術に臨むことができます。

サージカルガイドの使用で
より精密に

サージカルガイドは顎の骨に穴をあける際に、位置や角度が狂わないようにする物理的ガイドパーツです。
歯科用CTで得た3Dデータを使って作成するので高い精度をもっています。これがあることで、歯科医師は早く正確な手術を実施できます。

日本口腔インプラント学会の
インプラント専修医が在籍

当院のインプラント治療は、日本口腔インプラント学会に認定されたインプラント専修医が担当します。
インプラント専修医になるには高い技術と豊富な知識、治療の実績などが要求され、指導医の推薦も必要なため、簡単に取れる資格ではありません。このため患者様の状態にあわせた治療が提供できます。

生体情報モニターを使用

インプラントの手術は長時間を要するものではありませんが、手術を受ける方の中には何らかの疾患をお持ちの方もいらっしゃいます。そのため当院では生体情報モニターを使用して患者様の状態をリアルタイムで把握し、急を要する状態変化があれば迅速に対応できる体制を整えています。

当院で使用するインプラント

インプラント体(人工歯根)を作製しているメーカーは多数ありますが、当院は米国のデンツプライシロナ社が提供するアストラテックインプラントを採用しています。デンツプライシロナ社は世界のインプラント3大メーカーの1社であり、高い信頼性と実績を有しています。また、アストラテックインプラントは形状的な工夫によって歯槽骨の吸収を防止し、骨との結合が早いなど、メリットが豊富です。

従来の治療法と
インプラント治療法
との比較

ブリッジとの比較

  • ブリッジ

    ブリッジの場合、ブリッジの支台とするために、両隣りの歯を削らなければなりません。

  • インプラント

    インプラントの場合、歯の抜けたところにインプラントを埋め込み、人工の歯を被せるので両隣りの歯を削ることがありません。

部分入れ歯との比較

  • 部分入れ歯

    部分入れ歯を固定するための金具に異物感を覚えることがあり、周囲の歯にも負荷をかけます。

  • インプラント

    独立した存在なので周囲の歯に負荷をかけることがなく、異物感を覚えることもありません。

総入れ歯との比較

  • 総入れ歯

    保険診療の総入れ歯はインプラントほど固定が十分でないので、ズレて使いにくいことがあります。

  • インプラント

    インプラントは顎の骨に埋め込むのでズレることがなく、硬いものでもしっかり噛めて快適です。

治療の流れ

  1. Flow01調査・術前計画

    まず、レントゲン、歯科用CT、口腔内写真、口腔内診査などによる十分な診断を行い治療計画を作成し十分な説明を行います。

  2. Flow02一次手術

    歯が抜けた所へインプラント体を埋入した後、縫合します。顎の骨にしっかりと固定されるまで、3~6ヶ月持ちます。

  3. Flow03抜糸・仮歯調整

    一次手術から2週間程度経った時点で、インプラント埋入時の縫合部の抜糸を行います。このタイミングで仮歯を調整して、患者様の日常生活に支障がないように配慮します。

  4. Flow04待機期間

    顎の骨に埋め込んだインプラント体(人工歯根)が十分に骨と結合(オッセインテグレーション)するまで、待機期間とします。待機期間は骨の状態などで変化しますので個人差がありますが、おおむね2~3ヶ月程度が目安です。この期間中には通院の必要はありません。

  5. Flow05二次手術 アバットメント取付

    歯茎を再度開き、解析装置で磁気を当てて骨とインプラントが一体化していることを確認します。定着していることが確認できたらインプラントの頭にキャップを装着します。
    処置後は1-2週間ほど、歯茎の形が整うのを待ちます。必要に応じて仮歯を調整します。

  6. Flow06型取り

    患者様が事前に希望されたセラミックなどの素材で人工歯を作製するために、型取りを行います。

  7. Flow07完了

    インプラント治療後は、アフターケアとして正しいブラッシングを行うとともに、半年に一度は定期健診を受けてください。

顎の骨が少ない・
足りないと言われた方へ

インプラントを支える骨が歯周病などで減っている場合、そのままではインプラント治療が実施できないケースがあります。
そのため「骨が足りない」とインプラント治療を断る歯科医院も存在します。当院ではそのようなケースのために、骨の不足を補う増骨手術を行っています。骨の不足をカバーできればインプラントの埋入をできる症例もあるので、ぜひあきらめず、当院にご相談ください。

当院で行う増骨手術

GBR

骨が不足している部位に骨補填材などを埋め込み、骨の再生を邪魔しないためのメンブレンという膜で覆う治療方法です。骨の不足が軽度から中度であればインプラント埋入時に一緒に処置できるので、この処置によって治療期間が増えることを防止できます。

治療期間
6ヶ月~1年
回数
3-6回 ※手術1回
注意点
治療期間が長くなる傾向にあります。
自費診療になります。

サイナスリフト

上顎には上顎洞と呼ばれる空洞があるので、インプラント埋入時に骨が少なく、そのままでは埋入が困難な事例が見られがちです。サイナスリフト(上顎洞底挙上術)はそんなときの対処法で、上顎洞の空洞部に骨補填材を注入して不足した骨を補います。

治療期間
6ヶ月~1年
回数
3-6回 ※手術1回
注意点
手術範囲が広いため、術後に痛みや腫れが出やすくなります。
自費診療になります。

インプラント治療後の
メインテナンス

インプラントは適切なメインテナンスを続けていれば長期間維持できる治療方法です。しかし、治療した歯科医院が指定するメインテナンス(半年~年に1回程度)を受けないと、歯周病のような状態になってインプラントの周囲の歯周組織が炎症を起こし、進行するとインプラントを維持できなくなります。費用や期間をかけて入れたインプラントのため、定期的にメインテナンスを受けて快適な状態を長く維持しましょう。

予防歯科

Q&A

Q
歯が抜けた後、そのままにしているとどうなりますか?

歯が抜けたままにしておくと、隣の歯が傾いたり、周囲の骨がやせてしまいやすくなります。さらに、噛み合わせのバランスが崩れて、顎や他の歯に負担がかかることもあり、結果として口全体の健康に悪影響を及ぼす可能性があります。早めに適切な治療を検討することが大切です。

Q
手術中や手術後に痛みはありますか?

インプラントの埋入手術は、通常局所麻酔を使用して行います。恐怖心が強い方や手術時間が長くなる場合には、麻酔医の管理のもと、静脈内鎮静法を用いて、まるで眠っているかのようなリラックスした状態で手術を受けることも可能です。手術中に痛みを感じることはほとんどありません。術後は鎮痛薬を服用していただき、痛みの感じ方には個人差や手術内容による違いがありますが、多くの場合は数回の服用で痛みが和らぎますのでご安心ください。

Q
年齢制限はありますか?

明確な年齢制限はありませんが、あごの骨の成長が終了している成人で、全身の健康状態に問題のない方が対象となります。

インプラント治療が
推奨される方

  • 健康な歯を削るのがいやな人
  • 入れ歯ではなく、自然な歯並びを取り戻したい人
  • 入れ歯が合わなくて悩んでいる人
  • 安定した噛み心地を持続したい人
料金表

症例紹介

インプラント

インプラント

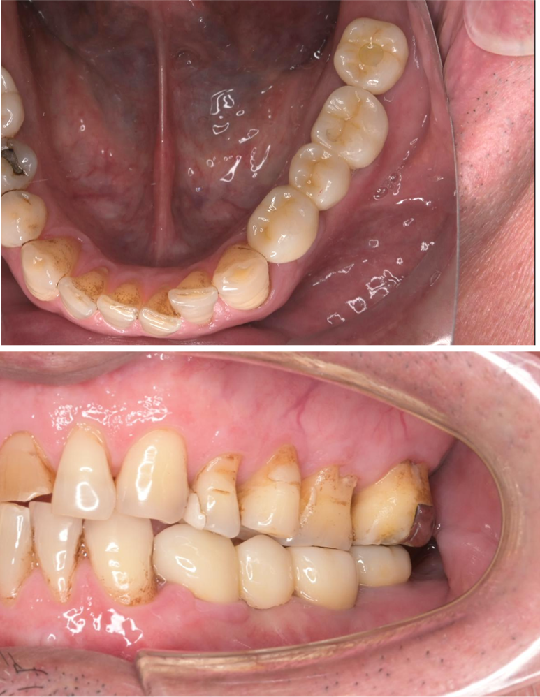
Before

After

主訴着色・見た目がきになる、おいしくご飯が食べたい、しっかりと噛めるようにしたい
年齢・性別60代 男性
治療期間・回数約8ヶ月 10回程度
治療方法抜歯術、インプラント埋入手術、補綴治療、着色除去
費用1,298,000 円 (税込)
デメリット・注意点保険適用外診療。出血・痛み・腫れを生じる可能性があります。上部構造の脱離、破損、スクリューの緩みが生じる可能性があります。下歯槽神経での知覚異常を引き起こす可能性があります。全身状態、骨の状態次第では処置がおこなえない可能性があります。インプラント周囲炎を引き起こす可能性があります。
処置内容、口腔内状況により患者様ごとに費用がことなります。
備考インプラント治療を行うことでしっかりと噛めるようになります。また、見た目も大きく改善され、天然の歯と遜色なく使用していただけております。
ご自身の歯同様、長期間健康な状態を維持していただくためには定期的なメンテナンスがとても大切になります。
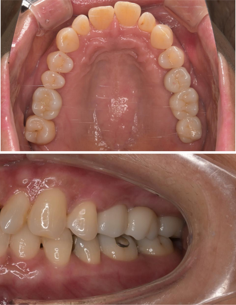
インプラント

インプラント

Before

After

主訴おいしくご飯が食べたい、しっかりと噛める奥歯が欲しい
年齢・性別50代 女性
治療期間・回数約12ヶ月 15回程度
治療方法抜歯術、インプラント埋入手術、補綴治療、サイナスリフト
費用1,690,000 円 (税込)
デメリット・注意点保険適用外診療。出血・痛み・腫れを生じる可能性があります。上部構造の脱離、破損、スクリューの緩みが生じる可能性があります。下歯槽神経での知覚異常を引き起こす可能性があります。全身状態、骨の状態次第では処置がおこなえない可能性があります。インプラント周囲炎を引き起こす可能性があります。
処置内容、口腔内状況により患者様ごとに費用がことなります。
備考インプラント治療を行うことでしっかりと噛めるようになります。また、見た目も大きく改善され、天然の歯と遜色なく使用していただけております。骨量が少なくサイナスリフトと呼ばれる骨造成手術を併用しております。
骨量が少ないと言われた方でも骨造成を併用することでインプラント手術を行うことができます。
ご自身の歯同様、長期間健康な状態を維持していただくためには定期的なメンテナンスがとても大切になります。