審美治療

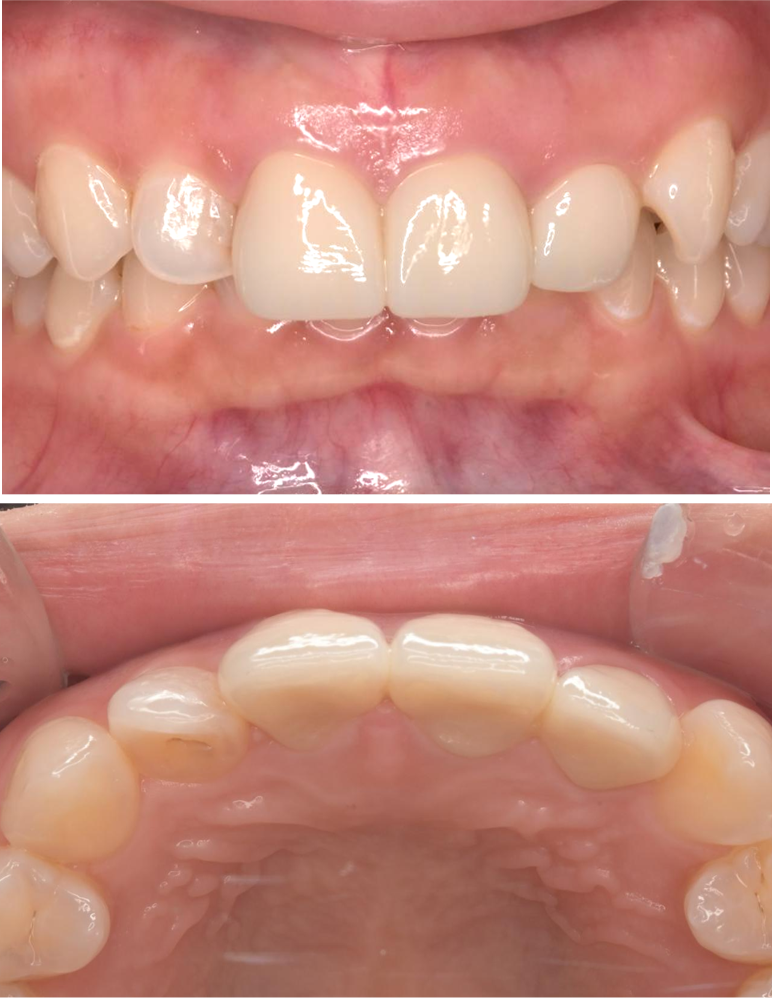
Before

After
| 主訴 | 前歯の変色が気になる。前歯の並びを綺麗にしたい |
|---|---|
| 年齢・性別 | 30代 女性 |
| 治療期間・回数 | 約1ヶ月・4回 |
| 治療方法 | ジルコニアクラウン(グラデーションあり) |
| 費用 | 297,000 円 (※税込価格、別途 形成・印象料がかかります) |
| デメリット・注意点 | 保険適用外診療。痛みを引き起こす場合があります。形態や色の馴染みには個人差があります。 脱離・破損のリスクがあります。口腔内の状況により、金額、治療回数は異なります。 |
| 備考 | 治療終了後は自然な仕上がりになりました。正中のズレも解消され変色や歯の傾きも解消されました。 当院では光学印象を用いたより高精度な型取りを行っております。治療前には必ず口腔内全体の清掃を行い周囲組織の炎症やプラーク等のばい菌の感染をなくし歯肉炎や歯周病を予防することが重要です。 ニ次う蝕予防、長期的な口腔内の健康の維持には定期的な歯科医院での予防処置がとても大切です。 |
















