ホワイトニング

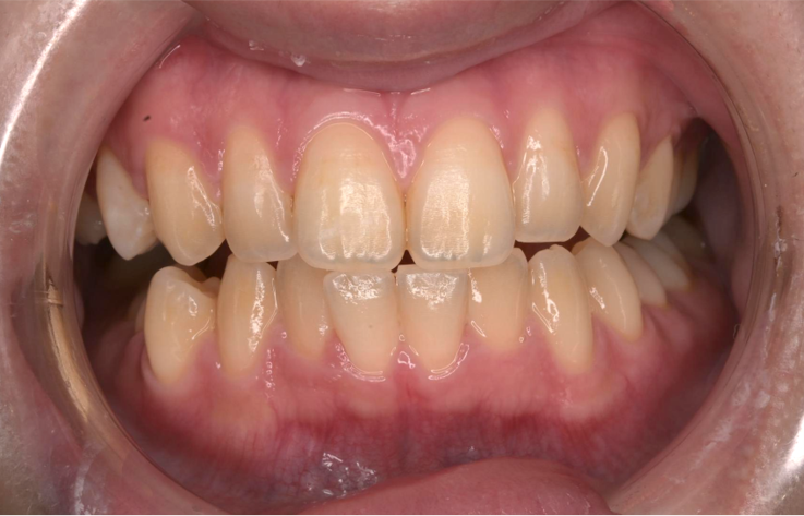
Before

After
| 主訴 | 歯の色が気になる |
|---|---|
| 年齢・性別 | 20代 女性 |
| 治療期間・回数 | 5ヶ月・5回 |
| 治療方法 | デュアルホワイトニング、オフィスホワイトニング |
| 費用 | デュアルホワイトニング 39,490 円 (※税込価格、1回分の費用になります) オフィスホワイトニング 17,490 円 (※税込価格、1回分の費用になります) |
| デメリット・注意点 | 知覚過敏の悪化の可能性、処置後一次的な痛みが出る可能性、効果には個人差があります。 |
| 備考 | 月に1回程度のオフィスホワイトニングにて行っております。より効果を実感していただくためにホームホワイトニングを併用するデュアルホワイトニングも行っております。 維持には定期的なクリーニング、タッチアップが重要です。 |














